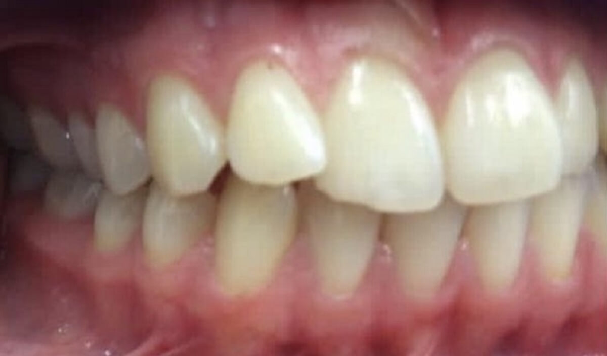
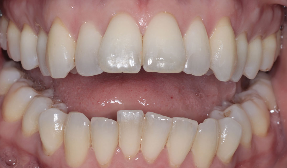
Straightening and Whitening
Before Invisalign, Tracy's teeth were a little crowded, which affected the colour and overall straightness. Tracy opted to have Invisalign, as it straightens the teeth, like braces, but they are almost invisible! After the Invisalign treatment, Tracy whitened her teeth, to make the teeth appear brighter. Having Invisalign, rather than traditional braces, meant that Tracy could continue with her usual lifestyle, with very minimal impact.
Mohini (dentist) has been an absolute pleasure. She has been an amazing support throughout my treatment. I couldn't ask for anything more. I have gained so much confidence and couldn't be happier with my experience. What a fabulous team!!
Tracy